Brackets de Autoligado Damon
Sol, 28 años
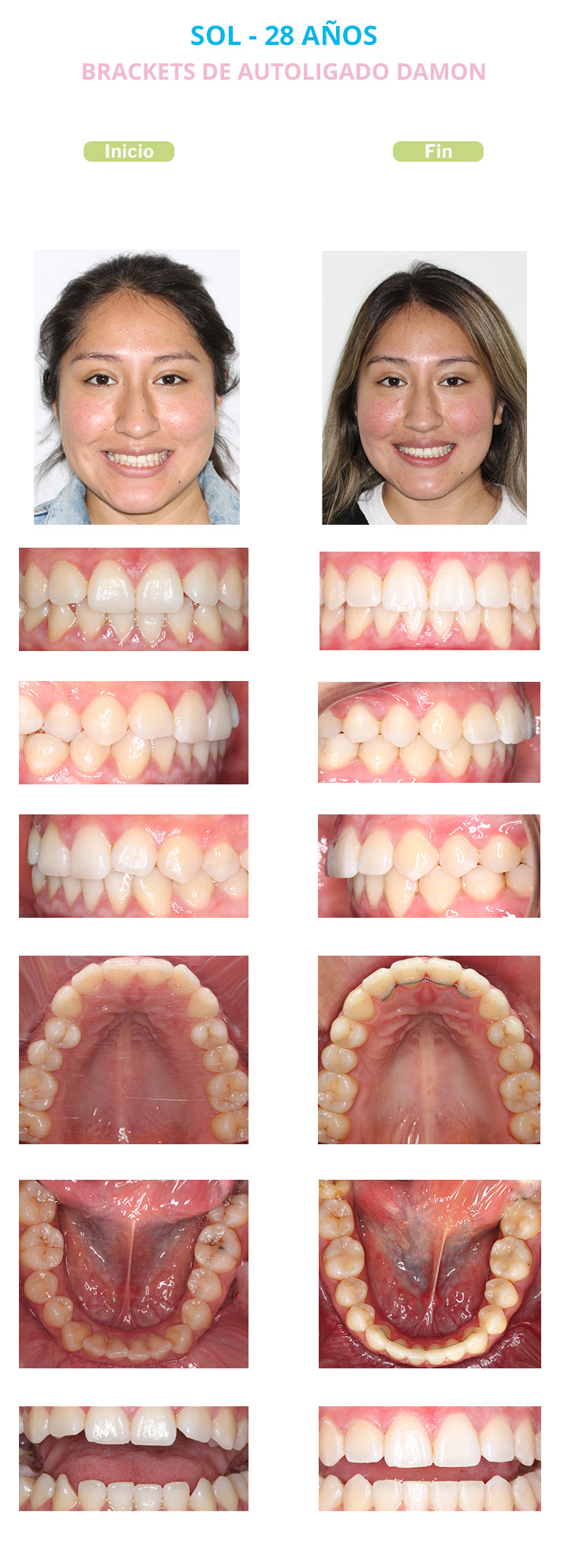
Sol acudió a nuestra consulta porque quería mejorar la estética de su sonrisa y su mordida. Los dientes se los veía cada vez más apiñados y quería buscar una solución a su problema.

Le realizamos un estudio completo de Ortodoncia que consiste en exploración clínica, fotografías, radiografías y escaneado intraoral digital. Las alteraciones que presentaba Sol y que teníamos que corregir eran:
- Sobremordida disminuida: Los Incisivos superiores no cubrían verticalmente lo suficiente a los incisivos inferiores, provocado por el hábito de deglución atípica que presentaba.
- Apiñamiento dentario.
- Mordida cruzada Primer Premolar superior derecho.
Le ofrecimos a Sol los diferentes tipos de aparatos de Ortodoncia para llevar a cabo su tratamiento. Ella eligió Brackets de autoligado Damon.
Su tratamiento tuvo una duración de 19 meses.
En las fotos finales de Sol se puede observar que hemos corregido con éxito todos los problemas que tenía. Hemos corregido la alteración en el engranaje de sus dientes superiores con los inferiores, logrando una correcta sobremordida. Además hemos rehabilitado el hábito de deglución atípica que presentaba, asegurando así la estabilidad de sus resultados en el tiempo.
Hemos solucionado el apiñamiento que tenía, dando una correcta forma de arcadas y logrando una sonrisa amplia.
A partir de este momento Sol luce una sonrisa con la firma Alba&Hernanz. Una sonrisa perfectamente alineada, amplia, estética y con una oclusión y una función perfecta.
¡TE LLAMAMOS GRATIS!

