Brackets de autoligado Damon + Microtornillo
Nerea, 18 años
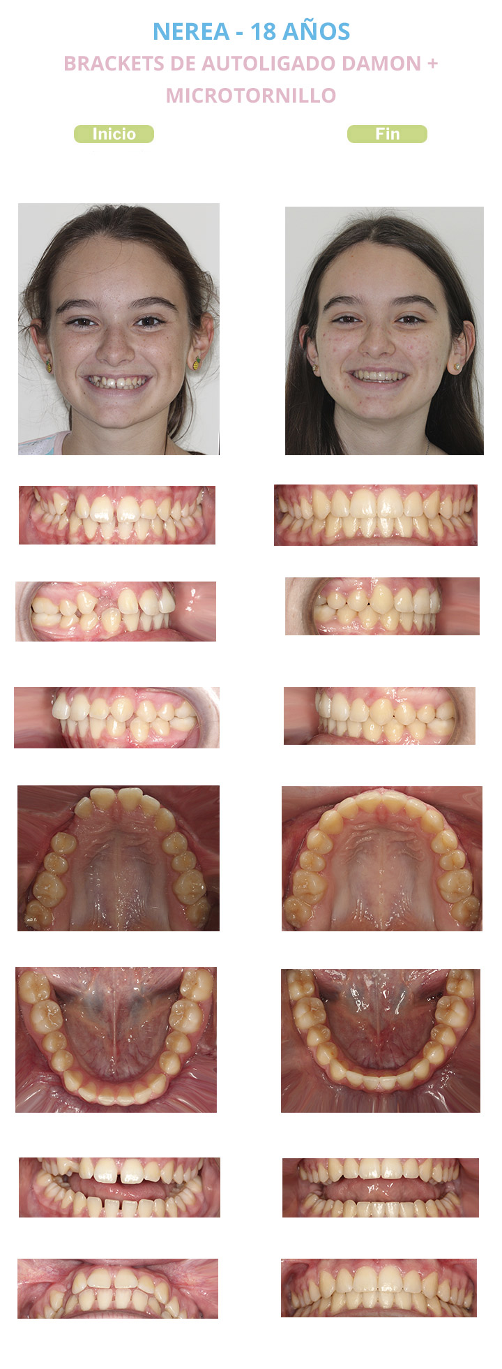
Nerea acudió a nuestra consulta porque quería mejorar la estética de su sonrisa y su mordida. Los dientes se los veía cada vez más inclinados hacia delante . Tenía un Canino permanente dentro del hueso que no había erupcionado.

Le realizamos un estudio completo de Ortodoncia que consiste en exploración clínica, fotografías, radiografías y escaneado intraoral digital.
Las alteraciones que presentaba Nerea y que teníamos que corregir eran:
-Diastemas entre dientes superiores e inferiores
-Canino superior derecho incluido.
-Clase II Molar y Canina derecha por dientes del primer cuadrante mesializados.
Le ofrecimos a Nerea los diferentes tipos de aparatos de Ortodoncia para llevar a cabo su tratamiento; ella eligió Brackets de autoligado Damon
Su tratamiento tuvo una duración de 31 meses.
En las fotos finales de Nerea se puede observar que hemos corregido con éxito todos los problemas que tenía.
Hemos traccionado del Canino incluido llevándolo a su ubicación correcta en la arcada dentaria superior. Para ello hemos colocado un microtornillo infracigomático en el lado derecho que también nos ha servido para distalar los dientes del primer cuadrante y lograr una oclusión de clase I Molar en el lado derecho.
Hemos corregido la alteración en el engranaje de sus dientes superiores con los inferiores, logrando una correcta sobremordida, con unas correctas guías incisiva y caninas.
Hemos mejorado la inclinación de los dientes superiores e inferiores cerrando los espacios que existían entre dientes, dando una correcta forma de arcadas y logrando una sonrisa amplia.
La paciente no quiso de momento reconstruir los dientes desgastados.
A partir de este momento Nerea luce una sonrisa con la firma Alba&Hernanz. Una sonrisa perfectamente alineada, amplia, estética y con una oclusión y una función perfecta.
¡TE LLAMAMOS GRATIS!


