Invisalign
Marta, 33 años
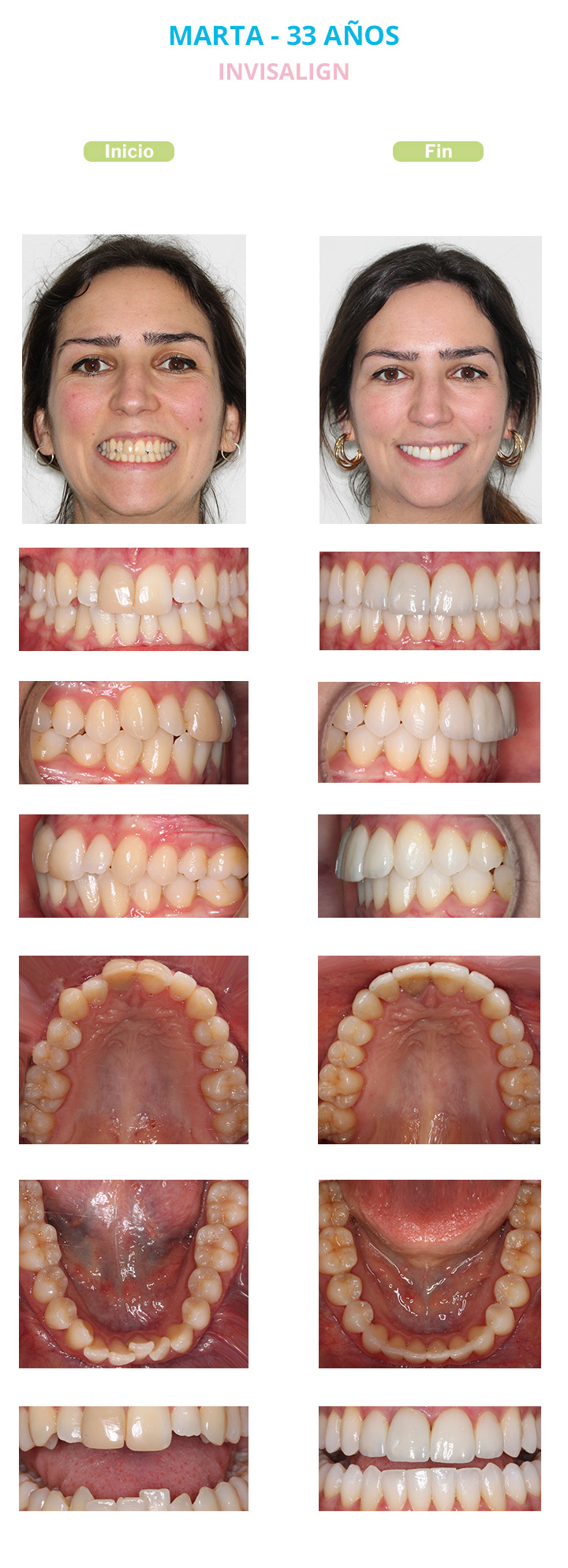
Marta acudió a nuestra consulta porque quería mejorar la estética de su sonrisa y su mordida. Los dientes se los veía cada vez más apiñados y no le gustaba el color de dientes que tenía.

Le realizamos un estudio completo de Ortodoncia que consiste en exploración clínica, fotografías, radiografías y escaneado intraoral digital.
Las alteraciones que presentaba Marta y que teníamos que corregir eran:
- Apiñamiento dentario
- Mordida cruzada del Incisivo lateral superior derecho.
- Compresión dentoalveolar superior e inferior: Ambas arcadas dentarias estaban comprimidas dando un efecto de sonrisa estrecha con espacios negros a ambos lados de la sonrisa.
- Incisivos laterales superiores microdóncicos.
Le ofrecimos a Marta los diferentes tipos de aparatos de Ortodoncia para llevar a cabo su tratamiento; ella eligió Invisalign.
Su tratamiento tuvo una duración de 25 meses.
En las fotos finales de Marta se puede observar que hemos corregido con éxito todos los problemas que tenía.
Hemos corregido la alteración en el engranaje de sus dientes superiores con los inferiores.
Hemos solucionado el apiñamiento que tenía, dando una correcta forma de arcadas y logrando una sonrisa amplia.
La especialista en Estética Dental ha realizado un Blanqueamiento dental combinado y unas carillas de porcelana en los Incisivos superiores, mejorando la estética de su sonrisa.
A partir de este momento Marta luce una sonrisa con la firma Alba&Hernanz. Una sonrisa perfectamente alineada, amplia, estética y con una oclusión y una función perfecta.
¡TE LLAMAMOS GRATIS!


