Brackets de Zafiro
Laura, 31 años
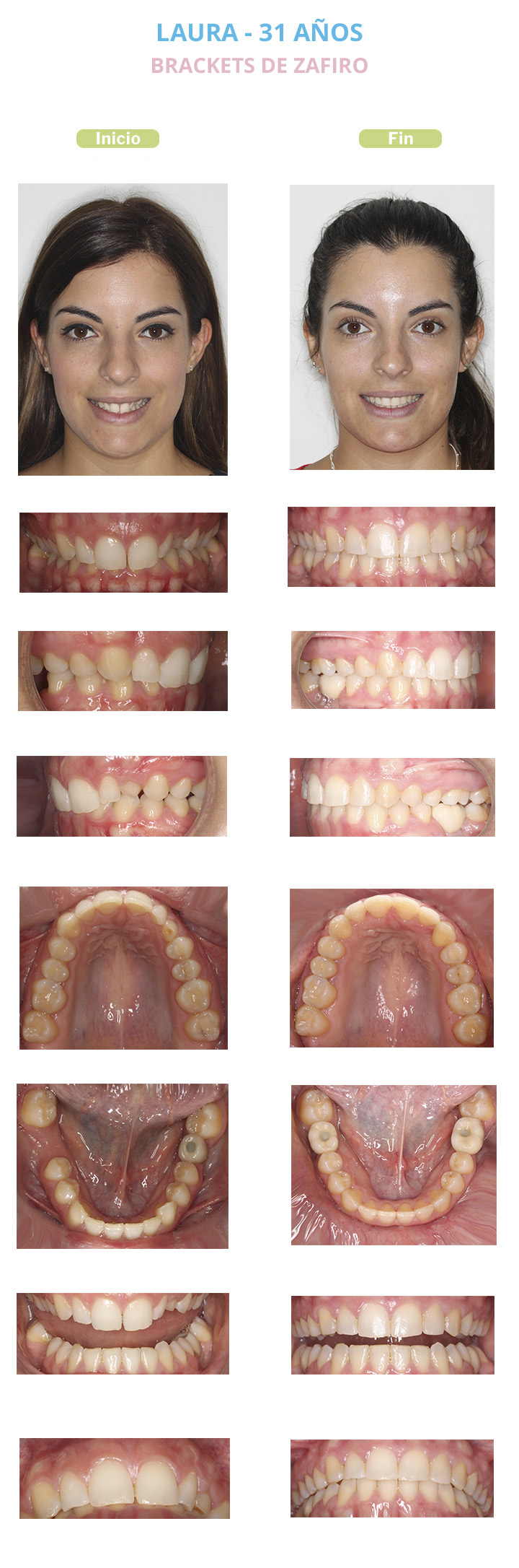
Laura acudió a nuestra consulta porque quería mejorar la estética de su sonrisa y su mordida. Los dientes se los veía cada vez más apiñados y desgastados. Tenía un Canino permanente dentro del hueso que no había erupcionado.

Le realizamos un estudio completo de Ortodoncia que consiste en exploración clínica, fotografías, radiografías y escaneado intraoral digital.
Las alteraciones que presentaba Laura y que teníamos que corregir eran:
-Sobremordida aumentada: Los Incisivos superiores cubrían verticalmente en exceso a los incisivos inferiores.
-Apiñamiento dentario
-Compresión dentoalveolar superior e inferior: Ambas arcadas dentarias estaban comprimidas dando un efecto de sonrisa estrecha con espacios negros a ambos lados de la sonrisa.
-Microdoncia de Incisivos Laterales superiores.
-Desgastes de dientes anteriores de canino a canino superior e inferior.
-Canino superior izquierdo incluido.
-Corona sobre implante del 36 de tamaño reducido.
-Ausencia del Primer Molar inferior derecho.
-Clase II Molar y Canina bilateral.
Le ofrecimos a Laura los diferentes tipos de aparatos de Ortodoncia para llevar a cabo su tratamiento; ella eligió Brackets de Zafiro.
Su tratamiento tuvo una duración de 36 meses.
En las fotos finales de Laura se puede observar que hemos corregido con éxito todos los problemas que tenía.
Hemos traccionado del Canino incluido llevándolo a su ubicación correcta en la arcada dentaria superior.
Hemos corregido la alteración en el engranaje de sus dientes superiores con los inferiores, logrando una correcta sobremordida, con unas correctas guías incisiva y caninas.
Hemos aumentado el tamaño de los Incisivos laterales superiores microdóncicos, proporcionándoles un tamaño correcto con respecto a los dientes adyacentes.
Hemos abierto espacio para sustituir la corona sobre el implante del 1º Molar inferior izquierdo, por una corona de tamaño correcto.
Hemos solucionado el apiñamiento que tenía, dando una correcta forma de arcadas y logrando una sonrisa amplia.
La paciente no quiso de momento reconstruir los dientes desgastados.
A partir de este momento Laura luce una sonrisa con la firma Alba&Hernanz. Una sonrisa perfectamente alineada, amplia, estética y con una oclusión y una función perfecta.
¡TE LLAMAMOS GRATIS!


