Brackets de Autoligado Damon
Claudia, 22 años
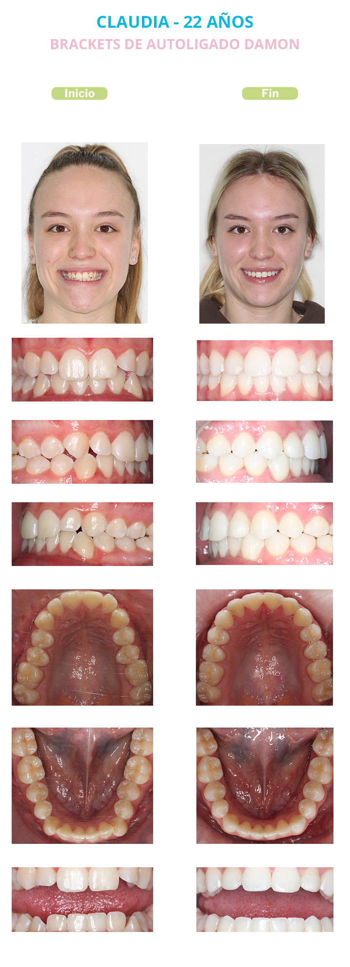
Claudia acudió a nuestra consulta porque quería mejorar la estética de su sonrisa y su mordida. Los dientes se los veía cada vez más apiñados y la sonrisa estrecha.

Le realizamos un estudio completo de Ortodoncia que consiste en exploración clínica, fotografías, radiografías y escaneado intraoral digital. Las alteraciones que presentaba Claudia y que teníamos que corregir eran:
- Apiñamiento dentario.
- Canino superior derecho muy rotado.
- Compresión dentoalveolar superior e inferior: Ambas arcadas dentarias estaban comprimidas dando un efecto de sonrisa estrecha con espacios negros a ambos lados de la sonrisa.
Le ofrecimos a Claudia los diferentes tipos de aparatos de Ortodoncia para llevar a cabo su tratamiento. Ella eligió Brackets de autoligado Damon.
Su tratamiento tuvo una duración de 21 meses.
En las fotos finales de Claudia se puede observar que hemos corregido con éxito todos los problemas que tenía. Hemos corregido la alteración en el engranaje de sus dientes superiores con los inferiores, logrando una correcta sobremordida.
Hemos solucionado el apiñamiento que tenía, dando una correcta forma de arcadas y logrando una sonrisa amplia.
A partir de este momento Claudia luce una sonrisa con la firma Alba&Hernanz. Una sonrisa perfectamente alineada, amplia, estética y con una oclusión y una función perfecta.
¡TE LLAMAMOS GRATIS!

