Brackets de Autoligado 3M Clarity Ultra

Carmen, 45 años

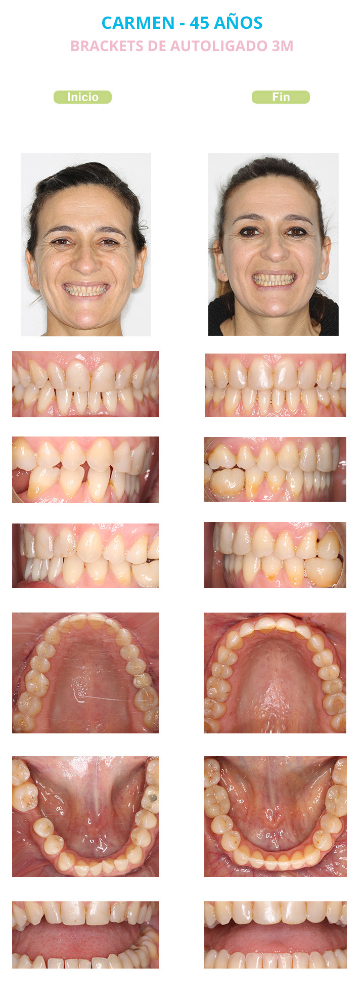
Carmen acudió a nuestra consulta porque quería mejorar la estética de su sonrisa y su mordida. Los dientes se los veía cada vez más apiñados y no podía cortar alimentos con los incisivos. Además le faltaba una muela que quería reponer.

carmen dientes

Le realizamos un estudio completo de Ortodoncia que consiste en exploración clínica, fotografías, radiografías y escaneado intraoral digital.

Las alteraciones que presentaba Carmen y que teníamos que corregir eran:

  • Sobremordida disminuida: Los Incisivos superiores no cubrían verticalmente lo suficiente a los incisivos inferiores, provocado por el hábito de deglución atípica que presentaba. -Malposiciones dentarias.
  • Presencia de diastemas (espacios entre dientes).
  • Compresión dentoalveolar superior e inferior: Ambas arcadas dentarias estaban comprimidas dando un efecto de sonrisa estrecha con espacios negros a ambos lados de la sonrisa.
  • Ausencia del primer molar inferior derecho.
  • Clase II Premolar y Canina derecha: Los Premolares y Canino inferior derechos se habían desplazado hacia el espacio del molar ausente.
  • Segundo premolar inferior derecho muy rotado.

Le ofrecimos a Carmen los diferentes tipos de aparatos de Ortodoncia para llevar a cabo su tratamiento; ella eligió Brackets de autoligado 3M Clarity Ultra.

Su tratamiento tuvo una duración de 21 meses.

En las fotos finales de Carmen se puede observar que hemos corregido con éxito todos los problemas que tenía. Hemos corregido la alteración en el engranaje de sus dientes superiores con los inferiores, logrando una correcta sobremordida. Además hemos rehabilitado el hábito de deglución atípica que presentaba, asegurando así la estabilidad de sus resultados en el tiempo.Hemos abierto espacio para reponer el 1º Molar inferior derecho ausente con un implante.

Su dentista le ha colocado el implante y la corona sobre implante que ha quedado sin oclusión con la arcada superior y le hemos sugerido a la paciente que acuda de nuevo a su dentista para que le rehaga la corona sobre ese implante. Hemos corregido las malposiciones dentarias que tenía, dando una correcta forma de arcadas y logrando una sonrisa amplia.

A partir de este momento Carmen luce una sonrisa con la firma Alba&Hernanz. Una sonrisa perfectamente alineada, amplia, estética y con una oclusión y una función perfecta.

¡TE LLAMAMOS GRATIS!

Formulario Rosa Blog

Deja tu comentario

¡Déjanos tu número y te llamamos!

Formulario Pop Up


¡Déjanos tu número y te llamamos!

Formulario te llamamos


Home
Account
Cart
Search