Brackets de Autoligado 3M Clarity Ultra
Maria Dolores, 30 años
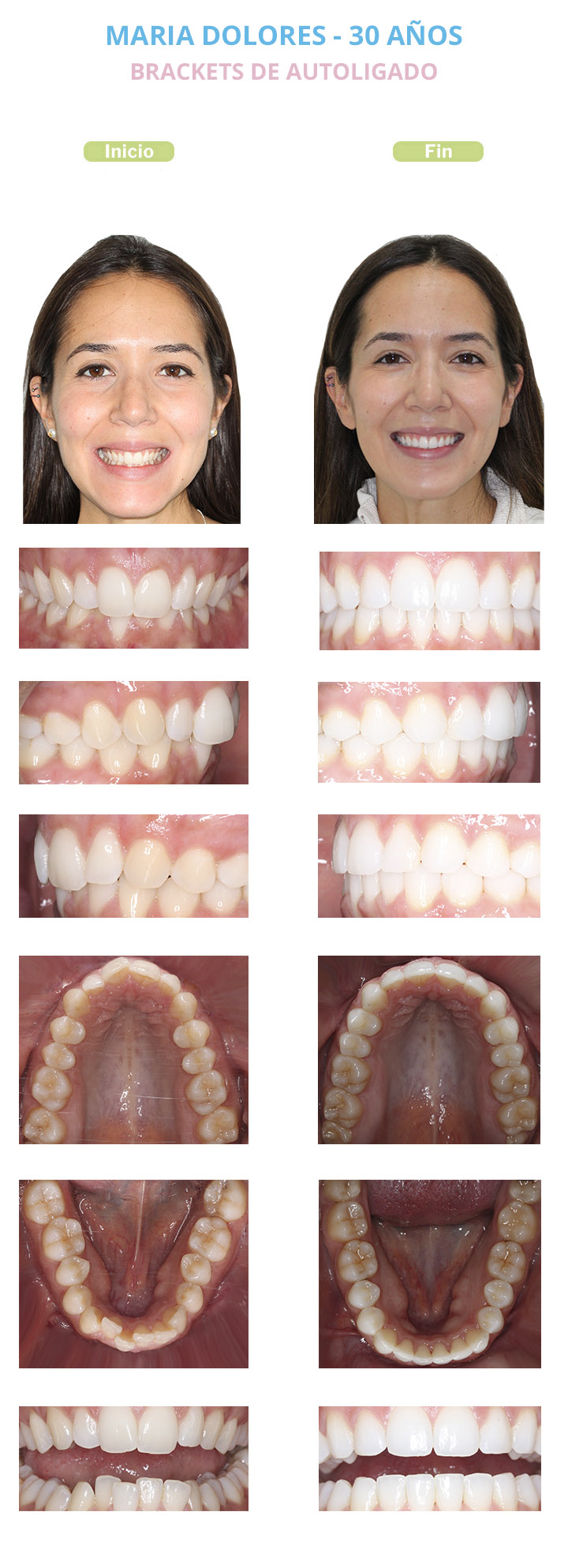
María Dolores acudió a nuestra consulta porque quería mejorar la estética de su sonrisa y su mordida. Los dientes se los veía cada vez más apiñados y su sonrisa estrecha.

Le realizamos un estudio completo de Ortodoncia que consiste en exploración clínica, fotografías, radiografías y escaneado intraoral digital.
Las alteraciones que presentaba María Dolores y que teníamos que corregir eran:
- Sobremordida aumentada: Los Incisivos superiores cubrían verticalmente en exceso a los incisivos inferiores.
- Apiñamiento dentario.
- Compresión dentoalveolar superior e inferior: Ambas arcadas dentarias estaban comprimidas dando un efecto de sonrisa estrecha con espacios negros a ambos lados de la sonrisa.
- Mordida cruzada del segundo Molar superior derecho.
- Microdoncia de ambos Incisivos laterales superiores.
Le ofrecimos a María Dolores los diferentes tipos de aparatos de Ortodoncia para llevar a cabo su tratamiento; ella eligió Brackets de autoligado 3M Clarity Ultra.
Su tratamiento tuvo una duración de 19 meses.
En las fotos finales de María Dolores se puede observar que hemos corregido con éxito todos los problemas que tenía. Hemos corregido la alteración en el engranaje de sus dientes superiores con los inferiores, logrando una correcta sobremordida. Además hemos abierto espacios para aumentar la anchura de los incisivos laterales superiores que hemos reconstruido logrando así una proporción correcta de estos con respecto a los dientes adyacentes. Y por último, hemos solucionado el apiñamiento que tenía, dando una correcta forma de arcadas y logrando una sonrisa amplia.
A partir de este momento María Dolores luce una sonrisa con la firma Alba&Hernanz. Una sonrisa perfectamente alineada, amplia, estética y con una oclusión y una función perfecta.
¡TE LLAMAMOS GRATIS!


