Invisalign
Daniel, 44 años
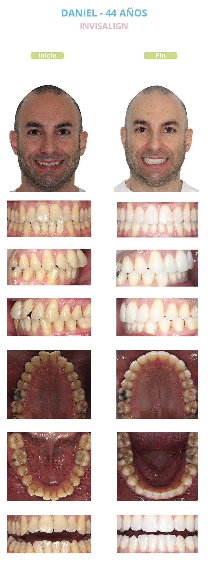
Daniel acudió a nuestra consulta porque quería mejorar la estética de su sonrisa y su mordida. Los dientes se los veía cada vez más apiñados y no le gustaba su sonrisa, decía que la veía envejecida.

Le realizamos un estudio completo de Ortodoncia que consiste en exploración clínica, fotografías, radiografías y escaneado intraoral digital.
Las alteraciones que presentaba Daniel y que teníamos que corregir eran:
- Sobremordida disminuida: Los Incisivos superiores no cubrían verticalmente lo suficiente a los incisivos inferiores, provocado por el hábito de deglución atípica que presentaba.
- Apiñamiento dentario.
- Compresión dentoalveolar superior e inferior: Ambas arcadas dentarias estaban comprimidas dando un efecto de sonrisa estrecha con espacios negros a ambos lados de la sonrisa.
- Curva de sonrisa invertida: Los Dientes anteriores de la arcada superior en sonrisa presentaban una curva convexa que no era paralela a la curva cóncava del labio inferior en sonrisa, dando lugar a una sonrisa antiestética.
- Líneas medias desviadas.
- Recesiones gingivales.
Le ofrecimos a Daniel los diferentes tipos de aparatos de Ortodoncia para llevar a cabo su tratamiento. Él eligió Invisalign.
Su tratamiento tuvo una duración de 19 meses.
En las fotos finales de Daniel se puede observar que hemos corregido con éxito todos los problemas que tenía.
Hemos corregido la alteración en el engranaje de sus dientes superiores con los inferiores, logrando una correcta sobremordida y centrando las líneas medias dentarias.
Además hemos rehabilitado el hábito de deglución atípica que presentaba, asegurando así la estabilidad de sus resultados en el tiempo.
Hemos solucionado el apiñamiento que tenía, dando una correcta forma de arcadas y logrando una sonrisa amplia.
A partir de este momento Daniel luce una sonrisa con la firma Alba&Hernanz. Una sonrisa perfectamente alineada, amplia, estética y con una oclusión y una función perfecta.
¡TE LLAMAMOS GRATIS!


