Brackets de autoligado damon
Alvaro, 17 años
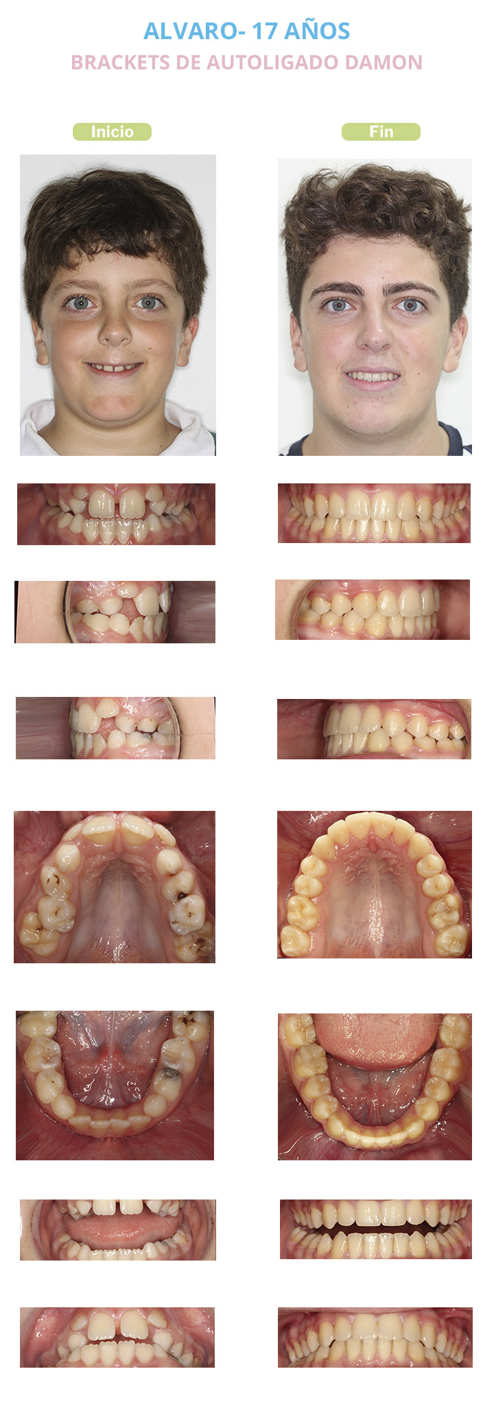
Alvaro acudió a nuestra consulta porque quería mejorar la estética de su sonrisa y su mordida.

Le realizamos un estudio completo de Ortodoncia que consiste en exploración clínica, fotografías, radiografías y escaneado intraoral digital.
Las alteraciones que presentaba Alvaro y que teníamos que corregir eran:
-Sobremordida disminuida: Los Incisivos superiores no cubrían verticalmente lo suficiente a los incisivos inferiores, provocado por el hábito de deglución atípica que presentaba.
-Compresión ósea maxilar: El hueso maxilar era más estrecho a nivel transversal que la mandíbula.
-Clase III esquelética: A nivel sagital presentaba un maxilar retruido con respecto a su mandíbula.
-Apiñamiento dentario
-Compresión dentoalveolar superior e inferior: Ambas arcadas dentarias estaban comprimidas dando un efecto de sonrisa estrecha con espacios negros a ambos lados de la sonrisa.
Le ofrecimos a Alvaro los diferentes tipos de aparatos de Ortodoncia para llevar a cabo su tratamiento; él eligió Brackets de autoligado Damon.
Su tratamiento tuvo una duración de 19 meses. Antes de iniciar el tratamiento con brackets, le realizamos un tratamiento de 1ª FASE con disyuntor maxilar y tracción anterior del maxilar con máscara facial.
En las fotos finales de Alvaro se puede observar que hemos corregido con éxito todos los problemas que tenía.
Hemos corregido el problema de Clase III esquelética que presentaba, logrando una correcta expansión ósea y avance del hueso maxilar, logrando una relación ósea de clase I a nivel sagital y una correcta relación transversal maxilo mandibular.
Hemos corregido la alteración en el engranaje de sus dientes superiores con los inferiores, logrando una correcta sobremordida. Además hemos rehabilitado el hábito de deglución atípica que presentaba, asegurando así la estabilidad de sus resultados en el tiempo.
Hemos solucionado el apiñamiento que tenía, dando una correcta forma de arcadas y logrando una sonrisa amplia.
A partir de este momento Alvaro luce una sonrisa con la firma Alba&Hernanz. Una sonrisa perfectamente alineada, amplia, estética y con una oclusión y una función perfecta.
¡TE LLAMAMOS GRATIS!


